You might look in the mirror one day and notice something has changed. The bottom teeth that were once straight now seem a bit crowded or overlapped. The team at Cooper Dental understands this is a common experience, as teeth can shift gradually throughout your life.
The good news is that you have options to correct this and improve your smile’s health and appearance. Modern orthodontic treatments, part of a complete smile transformation, offer discreet and effective ways to straighten crooked bottom teeth, designed to fit your professional lifestyle.
Why Your Bottom Teeth Shift Over Time
You may see your bottom teeth become more crowded as you get older. This happens as your jaw and mouth change over the years. Several factors can cause your teeth to move.
- Natural Jaw Changes: The shape of your jaw can narrow slightly with age, which leaves less room for your teeth to sit in a straight line.
- Gum & Bone Health: Changes in your gums or the bone that supports your teeth can allow them to move.
- Mesial Drift: Teeth naturally tend to move forward toward the front of the mouth over time. This gradual shifting can cause the lower front teeth to crowd or overlap, even if they were once straight or previously treated with orthodontics.
- Curve of Spee: This is the natural curve of the teeth when viewed from the side. When the curve becomes too deep, often due to crowding or tooth movement, the lower front teeth can over-erupt and overlap, contributing to bite problems and uneven tooth wear.
Mesial Drift Explained
Mesial drift is a natural process where teeth slowly move forward toward the front of the mouth. Even if you had straight teeth after braces or orthodontic treatment earlier in life, this gradual movement can still occur over time. The lower front teeth are especially prone to crowding because they have less space, are narrower teeth, and are influenced by ongoing jaw changes and chewing forces.
As teeth drift forward, they can begin to overlap, rotate, or become crowded. This is one of the most common reasons adults notice their bottom teeth becoming crooked later in life, even without obvious dental problems.
Mesial drift is normal, but when combined with age-related jaw narrowing or changes in gum and bone support, it can significantly affect alignment.
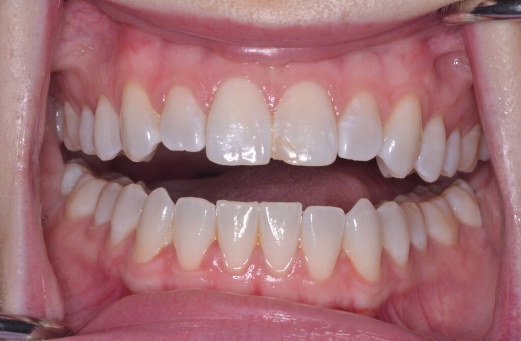
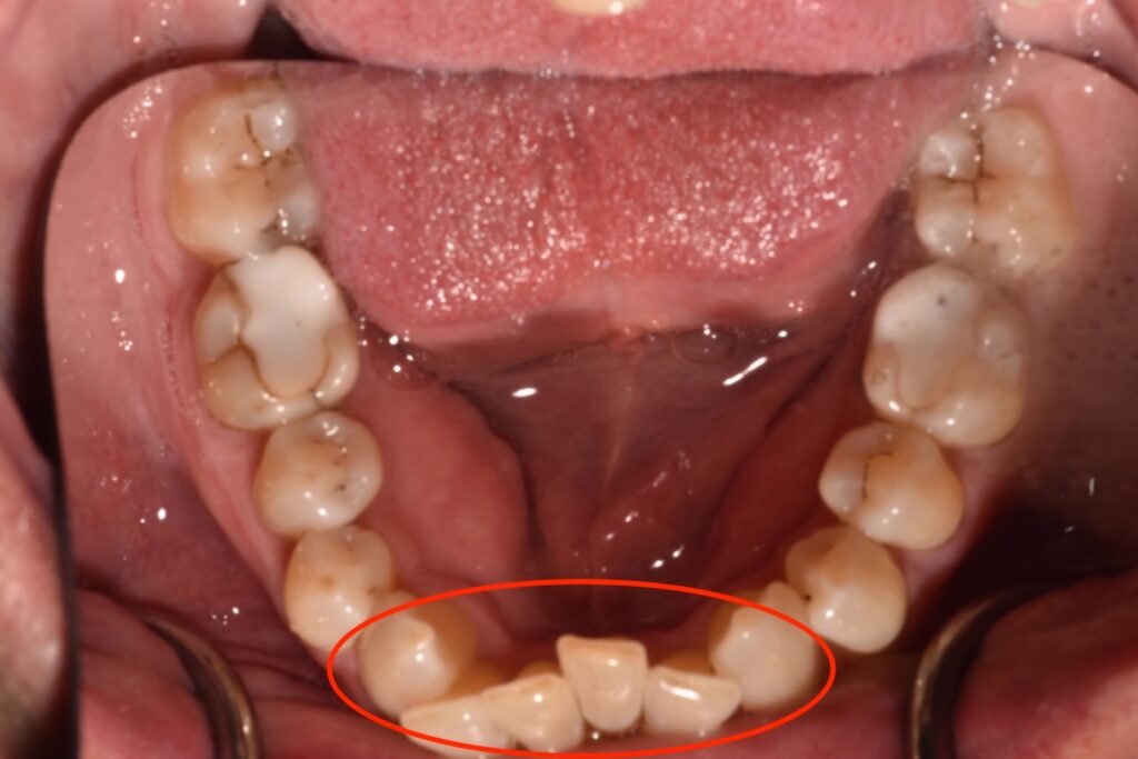
Mild Mesial Drift


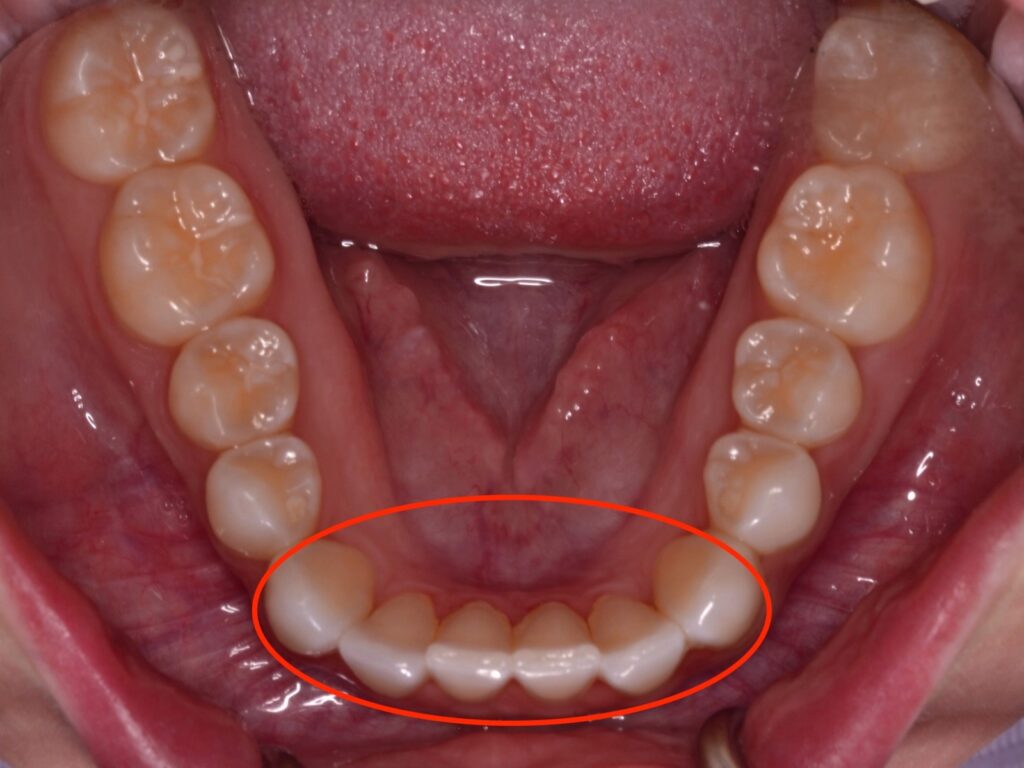
Moderate Mesial Drift


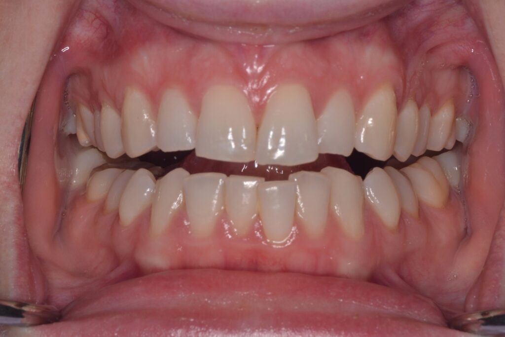
Severe Mesial Drift


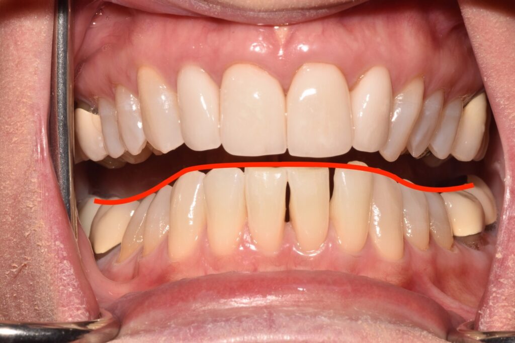
Curve of Spee Explained
The curve of Spee is the natural, gentle curve of your teeth when viewed from the side. It describes how the biting surfaces of the teeth follow a smooth arc, starting at the tip of the lower front teeth and continuing along the back molars.
In a healthy bite, this curve helps:
- Distribute chewing forces evenly
- Improve bite efficiency
- Support proper jaw function
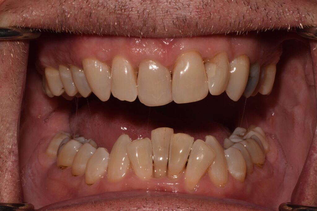
When the curve of Spee becomes too deep, the front teeth can over-erupt and overlap more. This can contribute to bite problems, uneven tooth wear, and jaw discomfort.
In the photos above we can see an elevated curve of Spee:

The Health & Appearance of Your Smile
Straightening your bottom teeth offers more than just a visual improvement. Proper alignment is important for your overall oral health and function.
- Easier to Clean: Straight teeth are simpler to brush and floss. This helps prevent plaque buildup and supports gum health.
- Prevent Uneven Wear: Crooked teeth can grind against each other incorrectly. This can lead to worn-down enamel or chips over time.
- Improve Your Bite: A misaligned bite can put stress on your jaw joints, which may lead to discomfort.
- Level your bite: When teeth become crowded, they often overerupt and sit at uneven heights. Leveling your bite helps balance how your teeth come together, improving comfort, function, and long-term stability.
Modern Solutions for a Straighter Smile
Today’s orthodontic treatments are designed to fit your lifestyle. They are discreet, comfortable, and effective. A consultation with your dentist in downtown Calgary can help determine the right path for you.
Clear Aligners
Clear aligners, such as Invisalign, are a popular choice. These custom-made trays are nearly invisible and removable. They work by applying gentle pressure to gradually guide your teeth into their proper position.
For a comprehensive look at Invisalign, download our Invisalign e-book, written by Dr. Cooper, a Gold Invisalign provider, to learn more about the Invisalign process.
Other Orthodontic Options
Traditional braces remain an effective option for many alignment cases. Modern braces have come a long way and can be more discreet than you might expect. Your dentist will help determine which orthodontic approach best suits your needs and goals
Your Age & Orthodontic Treatment
Orthodontic treatment is not just for teenagers. Adults of any age can achieve a straighter, healthier smile. The main consideration is not your age, but the health of your teeth and gums.
Talk to your dentist to determine your path for straighter teeth.
What to Expect from Your Treatment Journey
Your experience is tailored to your specific goals and needs, with a focus on precision and comfort from start to finish.
Your Initial Consultation
The process begins with a detailed assessment. The team uses digital scanning technology to create a 3D model of your mouth. This allows for a precise diagnosis and a preview of your potential results.
The Treatment Process
Based on your personalized plan, your custom aligners or braces will be created. You will have periodic check-in appointments to monitor your progress and make any necessary adjustments to help your treatment stay on track.
Maintain Your New Smile
After your teeth have moved to their new positions, the final step is to keep them there. You will receive a custom retainer, which is a discreet device you wear as instructed to prevent your teeth from shifting back.

Take the First Step Today
Addressing crooked bottom teeth can improve both the function and look of your smile. At Cooper Dental, the team is ready to discuss your options and create a personalized plan.
Schedule a consultation to learn more.
